NEWS
Le ultime novità e i consigli dedicati alla salute e al benessere: prevenzione, dieta, lifestyle e tecnologie diagnostiche
Notizie
Il punto prelievi di USI Altopascio si rinnova: nuova sede presso la Misericordia
Importante novità per i cittadini di Altopascio e delle aree limitrofe: il punto prelievi USI...
Psicologia
Stress e Cortisolo, quell'asse nascosto che spiega perché proviamo Ansia e Depressione
Quando parliamo di stress cronico, ansia o depressione, al centro della scena c'è un attore...
Salute
Holter Cardiaco, il controllo semplice che protegge la salute del cuore: disponibile nei centri USI nel Lazio e in Toscana a Lucca e Ponsacco
La prevenzione cardiovascolare passa sempre più attraverso strumenti diagnostici capaci di...
Salute
Nuovo Servizio di Fisiopatologia Respiratoria presso il Centro USI Ostiense - Piramide: diagnosi avanzata della funzione polmonare a portata di tutti
Le malattie respiratorie rappresentano oggi una delle principali sfide per la salute pubblica. In...
Salute
Test PrenatalAdvance: lo screening prenatale non invasivo per una scelta consapevole
La diagnosi prenatale ha compiuto negli ultimi anni un importante salto di qualità grazie ai test...
Diagnostica
La Risonanza Magnetica ad Alto Campo 3T: Innovazione nella Diagnostica per Immagini
La Risonanza Magnetica (RM) Ad Alto Campo 3 Tesla rappresenta una delle innovazioni più...
Notizie
Nuovi Centri USI ad Acilia e Casal Palocco: tre sedi, tanti nuovi servizi
Il Gruppo USI ha rilevato due centri ad Acilia e uno a Casal Palocco che vanno ad ampliare la già...
Notizie
Giornata Promozionale Tiroide e Alimentazione a USI VALDERA-PONSACCO: un binomio essenziale per la salute
Piccola nelle dimensioni ma centrale per l’equilibrio dell’organismo, la tiroide è una...
Notizie
Il Prof. Manetti entra a far parte del nostro team: un’eccellenza in Chirurgia della Parete Addominale
Siamo lieti di annunciare l’ingresso nel nostro gruppo del Prof. Gabriele Manetti...
Salute
A USI PONSACCO il nuovo servizio di Dermatologia: tecnologia, prevenzione e centralità del paziente
Il Gruppo USI da Marzo mette a disposizione specialisti dermatologi e tecnologie diagnostiche...
Salute
Lipoproteina(a): ruolo clinico e indicazioni al dosaggio secondo le più recenti linee guida ESC/EAS
La Lipoproteina(a) [Lp(a)] è oggi riconosciuta come uno dei principali determinanti genetici e...
Notizie
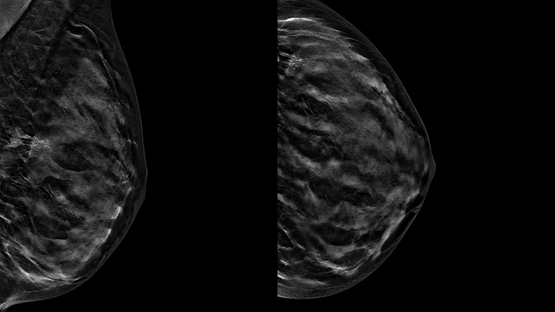
Il Prof. Alejandro Martín Sanchez entra nel Gruppo USI: nuovo riferimento di eccellenza per la chirurgia senologica a Roma
Il Gruppo USI rafforza il proprio impegno nella prevenzione, diagnosi e cura delle patologie...
Salute
Nuovo Servizio al Centro USI Eur - Serafico: consulenze specialistiche in Infertilità di Coppia e Procreazione Medicalmente Assistita (PMA)
Il Centro USI Eur - Serafico amplia la propria offerta di servizi dedicati alla salute della donna...
Salute
Fegato grasso (steatosi epatica): cause, rischi e nuove prospettive di prevenzione
Il fegato grasso, o steatosi epatica, è oggi una delle patologie epatologiche più diffuse e in...
Notizie
Nutrizione ed Endocrinologia in un unico percorso presso la sede di USI Valdera-Ponsacco
Gentile Paziente,siamo lieti di annunciare la nascita, presso USI Valdera–Ponsacco, del nuovo...